Tomografia ottica computerizzata
4 Aprile 2018 | 0 commenti
L’OCT è una tecnica diagnostica per immagini che utilizza raggi di luce coerente e permette l’analisi delle strutture del segmento anteriore ( cornea e camera anteriore) e posteriore (coroide, retina e nervo ottico) dell’occhio mediante sezioni tomografiche verticali ad alta risoluzione (Fig. 1, 2).
Le esperienze accumulate e l’evoluzione tecnica (siamo già alla V generazione spectral domain di strumenti OCT) rendono sempre più utile ed affidabile questo esame non invasivo, che, data la sua alta precisione, è diventata indispensabile permettendo di completare l’esame fluorangiografico e, in certi casi, di sostituirlo.
Fig. 1. Immagine OCT spectral domain ad alta risoluzione di retina normale. Sono evidenti i vari strati retinici e lo strato dell’epitelio pigmentato-coriocapillare, più reflettente, di colore rosso. Sotto la retina si distinguono i vasi più superficiali della coroide. Al centro della scansione si nota la depressione normale, a livello della fovea, che è il punto più sensibile dell’occhio e che serve alla visione dei dettagli, per esempio leggere o cucire.

Fig. 2. Immagine OCT spectral domain ad alta risoluzione di retina normale Bianco e nero l’OCT rappresentato nella figura 2 è in bianco e nero cioè con la scala dei grigi. Queste immagini sembrano meno belle di quelle a colori ma sono molto più utili per gli specialisti perché permettono di studiare dei dettagli che non sono evidenti sulle immagini a colori. Per questo gli OCT destinati ad altri oculisti sono quasi sempre stampati in bianco e nero.
Che cos’è l’OCT spectral domain ad alta risoluzione?
Gli OCT spectral domain ad alta risoluzione adoperano delle tecniche modernissime per studiare le strutture dell’occhio. I raggi luminosi degli strumenti Spectral Domain, dopo aver attraversato gli strati retinici vengono riflessi verso lo spettrometro dello strumento che li scompone in armoniche. Queste armoniche vengono studiate dallo Software che ricostruisce gli strati retinici con altissima precisione ed in pochi centesimi di secondo. I vantaggi sugli OCT classici della precedente generazione sono dovuti all’ alta definizione dell’immagine ed all’estrema rapidità dell’esame che evita gli artefatti di movimento ed è molto più riposante per il paziente. Gli OCT spectral domain ad alta risoluzione hanno apportato dei miglioramenti importanti alle immagini della retina e del nervo ottico.
Che cos’è l’OCT tridimensionale?
Molti OCT Spectral Domain ma non tutti, possono darci delle immagini tridimensionali. Queste immagini in rilievo sono utilissime per lo studio delle malattie retiniche, della coroide e del nervo ottico. Mentre le immagini OCT normali sezionano la retina sagittalmente cioè dall’avanti verso il dietro, le c scan ci danno delle sezioni frontali o trasversali, a 90° delle immagini normali. Queste sezioni trasversali o frontali portano delle indicazioni molto importanti in certe patologie come i fori maculari, pseudo fori, edemi retinici, membrane neovascolari (Fig.3).

Fig. 3. Immagine OCT spectral domain ad alta risoluzione tridimensionale di un distacco sieroso dell’epitelio pigmentato. Si può osservare come le caratteristiche del distacco dell’epitelio pigmentato diventano evidenti quando sono osservate su una immagine tridimensionale. Le informazioni apportate da queste immagini sono utili per la diagnosi la terapia e per seguire l’evoluzione.
A che serve l’OCT?
Permette di diagnosticare e seguire l’evoluzione di numerose affezioni retiniche, del nervo ottico e della coroide. La visualizzazione della coroide è stata resa maggiormente dettagliata e precisa grazie ad una modifica della tecnologia SD-OCT standard che ha comportato una maggiore profondità di scansione (Enhanced Depth Imaging-EDI). L’EDI-OCT sposta il punto focale di visualizzazione più posteriormente permettendo di studiare la struttura e l’estensione dei tumori della coroide anche quelli di piccole dimensioni non rilevabili dall’ecografia. L’OCT è un esame affidabile, sensibile di altissima precisione, soprattutto con gli ultimi strumenti ad alta definizione. Le immagini mostrano dettagli delle dimensioni di millesimi di millimetri. Le immagini sono riproducibili da diversi strumenti e diversi operatori; l’esecuzione delle scansioni è rapida, semplice e soprattutto non implica la somministrazione di sostanze di contrasto. Dei punti di repere permettono di ritrovare la localizzazione esatta delle tomografie e di confrontare le immagini negli esami successivi, anche a distanza di anni.
Come si esegue?
Il paziente guarda dentro l’obiettivo di una telecamera, generalmente senza istillazione di gocce per dilatare la pupilla. Vengono eseguite le riprese in pochi minuti, senza abbagliamento. Utilizzando un raggio luminoso, si evita il contatto con il bulbo. Rispetto alle angiografie non è necessaria l’iniezione di sostanze di contrasto. Ogni immagine (sezione ottica) è ottenuta in una frazione di secondo. L’esame completo dura 10 minuti.
L’OCT permette di evidenziare e misurare a livello della retina, coroide e del nervo ottico lesioni di:
- alterata morfologia
- differenze di densità dei tessuti
- aree otticamente vuote, cisti, distacchi, membrane anomale, briglie
- misurare lo spessore della retina, delle fibre nervose e della coroide
- misurare il volume della retina e del nervo ottico
- eseguire mappe
In quali malattie della retina è utile eseguire l’OCT?
La sua utilità è stata dimostrata in numerose patologie:
- degenerazioni maculari senili e giovanili con o senza neovascolarizzazioni sottoretiniche (Fig.3)
- retinopatia diabetica
- corioretinopatie acute e croniche
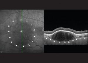
- edemi maculari di varie origini (Fig.4)
- neovascolarizzazioni intraretiniche e preretiniche
- atrofia retinica
- fori e pseudori maculari (Fig.5)
- lesioni dell’interfaccia vitreoretinica
- retinoschisi foveale
- tumori della retina

Fig. 4. Immagine OCT spectral domain ad alta risoluzione di edema retinico cistoide. La retina appare di spessore molto aumentato. E’ scomparsa la normale depressione foveale. Dentro la retina si notano piccoli spazi scuri che rappresentano gli accumuli di liquido intraretinico.
Fig. 5. Immagine OCT spectral domain ad alta risoluzione di Foro retinico a tutto spessore. Nell’area in cui dovrebbe essere presente solo una lieve depressione, corrispondente alla fovea, è evidente una perdita di sostanza retinica. Gli strati retinici sono completamente scomparsi fino al livello dell’epitelio pigmentato.
In quali malattie della coroide è utile eseguire l’OCT
- Corioretinopatia sierosa centrale si manifesta con un aumento dello spessore coroideale (Fig.6)
- Degenerazione maculare senile.
- Nello studio e follow-up delle patologie infiammatorie della coroide come la sindrome di Voght-Harada, corioretinopatia di Birdshot, sarcoidosi, retinocoroidite da Toxoplasma gondii ecc. Risulta molto utile anche nella precoce diagnosi di una recrudescenza della patologia.
- Tumori della coroide; nevi, piccoli melanomi, angioma della coroide (Fig.7), osteoma, linfoma della coroide
- Sindrome da effusione uveale
Fig. 6. Scansione coroideale ottenuto con EDI SD-OCT in un paziente affetto di corioretinopatia sierosa centrale. Si osserva la presenza di fluido sotto la retina ed un ispessimento coroideale diffuso (le frecce)
Fig. 7. Angioma della coroide
L’OCT permette nel glaucoma di evidenziare e misurare:
- lo spessore delle fibre nervose peripapillari: nel glaucoma uno dei segni precoci è la diminuzione dello spessore delle fibre nervose (Fig.8)
- misurare i vari parametri della papilla ottica come l’escavazione, le dimensioni del neurorima, i bordi del disco ottico e il Cap/Disc: l’escavazione della papilla è uno dei segni precoci del glaucoma
- misurare lo spessore delle cellule ganglionari ( Ganglionar Cell Comlex) nella regione perimaculare: negli occhi affetti dal glaucoma si osserva una riduzione generale dello spessore maculare legato al riduzione del complesso delle cellule ganglionari (Fig.9)
Fig. 8. Riduzione dello spessore delle fibre nervose peripapillari nel quadrante superiore dell’occhio sinistro (area rossa) in un paziente affetto dal glaucoma.
Fig. 9. Analisi delle cellule ganglionari in un paziente affetto dal glaucoma. Nell’occhio sinistri si nota una riduzione dello spessore delle cellule ganglionari nel settore superiore (area rossa).
L’OCT aiuta nelle diagnosi e nel follow-up delle patologie della via ottica come:
- neurite ottica ischemica anteriore (NOIA)
- neurite ottica infiammatori (es. sclerosi multipla) (Fig. 10)
- neurite ottica infettiva
- sindromi compressive (es. adenoma della ghiandola pituitaria) (Fig.11)
- neurite ottica tossica (es. alcool-tabagica)
Fig. 10. Riduzione localizzata dello spessore delle fibre nervose nel settore temporale dell’occhio sinistro in un paziente affetto da Sclerosi Multipla
Fig. 11. Riduzione dello spessore delle fibre nervose nel quadrante temporale di entrambi gli occhi in un paziente affetto da tumore della ghiandola pituitaria
Può sostituire la fluorangiografia?
In un certo numero di condizioni l’OCT permette di sostituire la fluorangiografia, soprattutto nello studio e nel seguire l’evoluzione dell’edema retinico di varie origini dopo terapia e nel seguire l’evoluzione dei neovasi dopo le iniezioni intravitreali. Non è da sottovalutare che si tratta di un esame non invasivo, da preferire ad esami invasivi che possono portare, in una certa percentuale di casi, a delle complicanze
Quali sono i limiti dell’OCT?
È difficile o impossibile da eseguire in caso di:
- nubecole o edema corneale,
- opacità importanti del cristallino,
- torbidità del vitreo,
- emorragie vitreali.
Si possono ottenere immagini anche in presenza di opacità del cristallino non troppo evolute ed anche con mezzi di tamponamento intraoculare, per esempio olio di silicone, che determina, però, degli errori nei risultati delle misurazioni.
Le cornee operate con eccimeri, anche se apparentemente trasparenti, possono modificare l’aspetto delle scansioni ed alterare i calcoli di quantificazione.
CONCLUSIONI
L’OCT spectral domain ad alta risoluzione è un esame:
- semplice (la curva di apprendimento è breve)
- rapido (frazione di secondo)
- affidabile
- sensibile (risoluzione 3 micron)
- riproducibile
- non invasivo ( non necessita di iniezione) – non a contatto – innocuo
Permette di:
- diagnosticare
- valutare le indicazioni di un intervento laser o chirurgico
- memorizzare
- quantificare le lesioni, valutare spessore, volume, superficie di una lesione
- valutare gli effetti di un medicinale
- seguire l’evoluzione spontanea della malattia retinica
- valutare l’evoluzione post-operatoria o post laser o dopo terapia intravitreale.
Edina Zere





